Caso clinico AFFOLAMENTO DENTALE

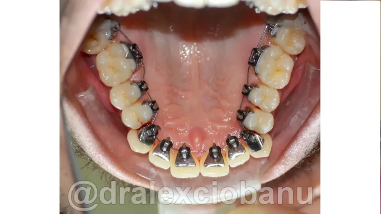
Il paziente presentava una malocclusione di prima classe per grave affollamento dentario superiore ed inferiore.
Caso clinico - Affolamento Dentale - Prima Caso clinico - Affolamento Dentale 1 - Dopo
PRIMA
DOPO

L’affollamento dentale è una malposizione dentale dovuta a una mancanza di spazio che rende i denti non allineati.

Il paziente presentava una malocclusione di prima classe per grave affollamento dentario superiore ed inferiore.

Al fine di garantire un alto livello di estetica e precisione maggiore nello spostamento dei denti, sono stati applicati degli attacchi linguali 3D WIN LINGUAL SYSTEM in entrambe le arrecate.

I brackets linguali possono allineare sia le corone che le radici dei denti, in modo che siano perfettamente posizionati l’uno accanto all’altro in posizione corretta. È spesso difficile ottenere questo posizionamento utilizzando gli allineatori rimovibili, specialmente quando si tratta di correggere le rotazioni dei canini. I brackets linguali fissi possono posizionare perfettamente i canini e i denti anteriori nella posizione corretta, come mostrato nella radiografia orto panoramica al termine della terapia.

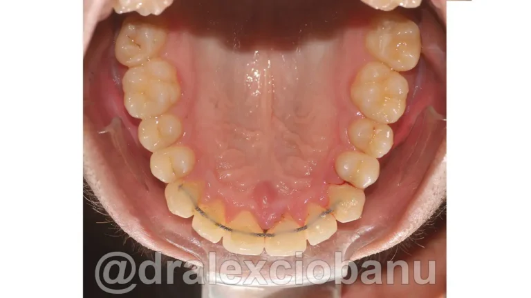
La terapia ha richiesto tempi molto più brevi di una terapia con gli attacchi visibili o mascherine trasparenti.
Abbiamo corretto il morso ed ottenuto il perfetto allineamento dei denti.

Tempo totale di trattamento: 10 mesi.

Il paziente è stato molto sotisfatto del risultato ottenuto ❤️

Caso-clinico-Affolamento-Dentale-2-Prima Caso-clinico-Affolamento-Dentale-2-Dopo-1
PRIMA
DOPO
Caso-clinico-Affolamento-Dentale-3-Prima Caso-clinico-Affolamento-Dentale-3-Dopo
PRIMA
DOPO
Caso-clinico-Affolamento-Dentale-4-Prima Caso-clinico-Affolamento-Dentale-4-Dopo
PRIMA
DOPO
Caso-clinico-Affolamento-Dentale-5-Prima Caso-clinico-Affolamento-Dentale-5-Dopo
PRIMA
DOPO
Caso-clinico-Affolamento-Dentale6-Prima Caso-clinico-Affolamento-Dentale6-Dopo
PRIMA
DOPO
Caso-clinico-Affolamento-Dentale7-Prima Caso-clinico-Affolamento-Dentale7-Dopo
PRIMA
DOPO
Ortodonzia Invisibile Milano
Studio dentistico professionale e all’avanguardia a Milano San Babila, a solo un minuto dalla fermata metro M1!